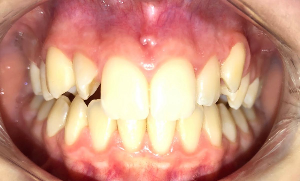
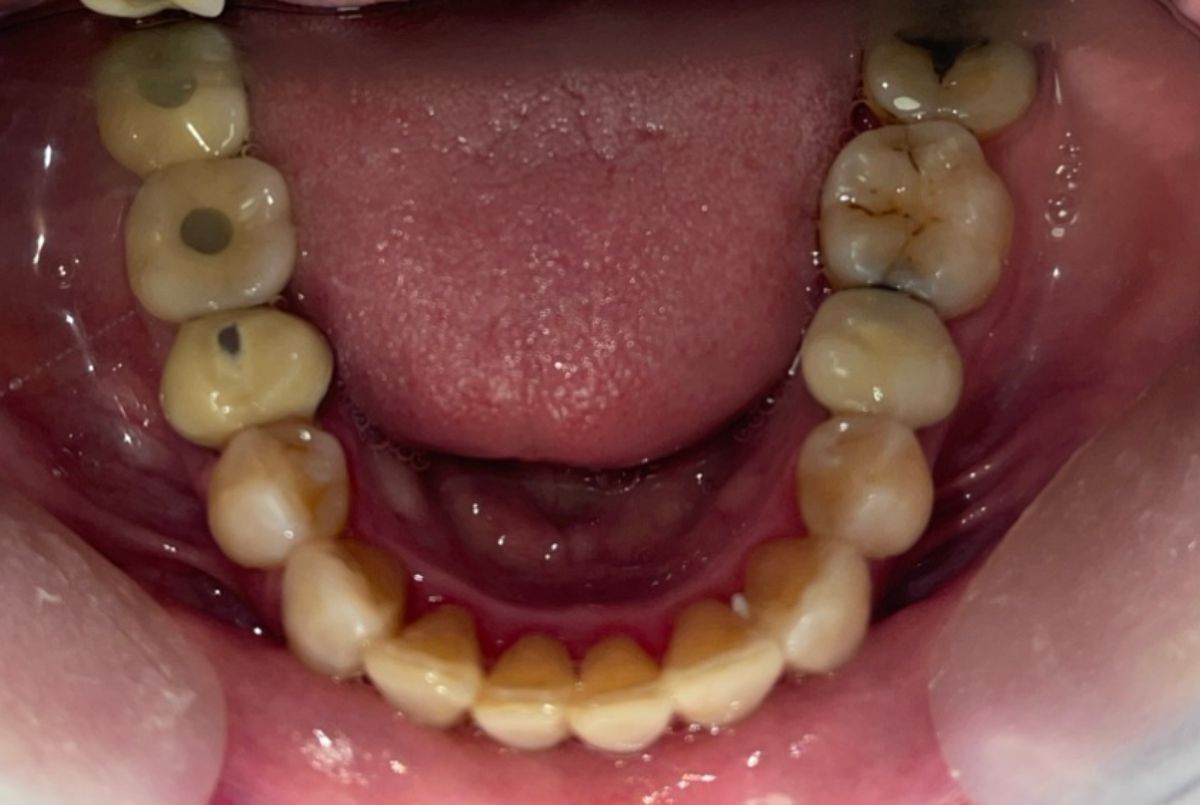
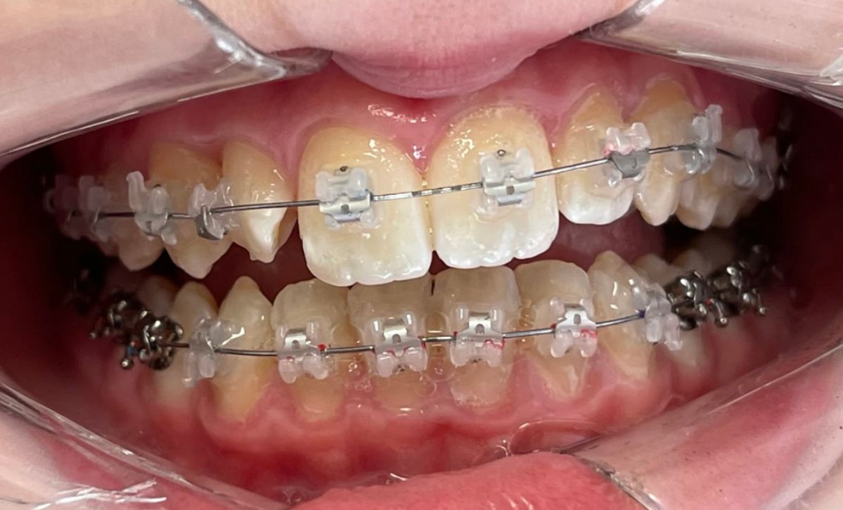
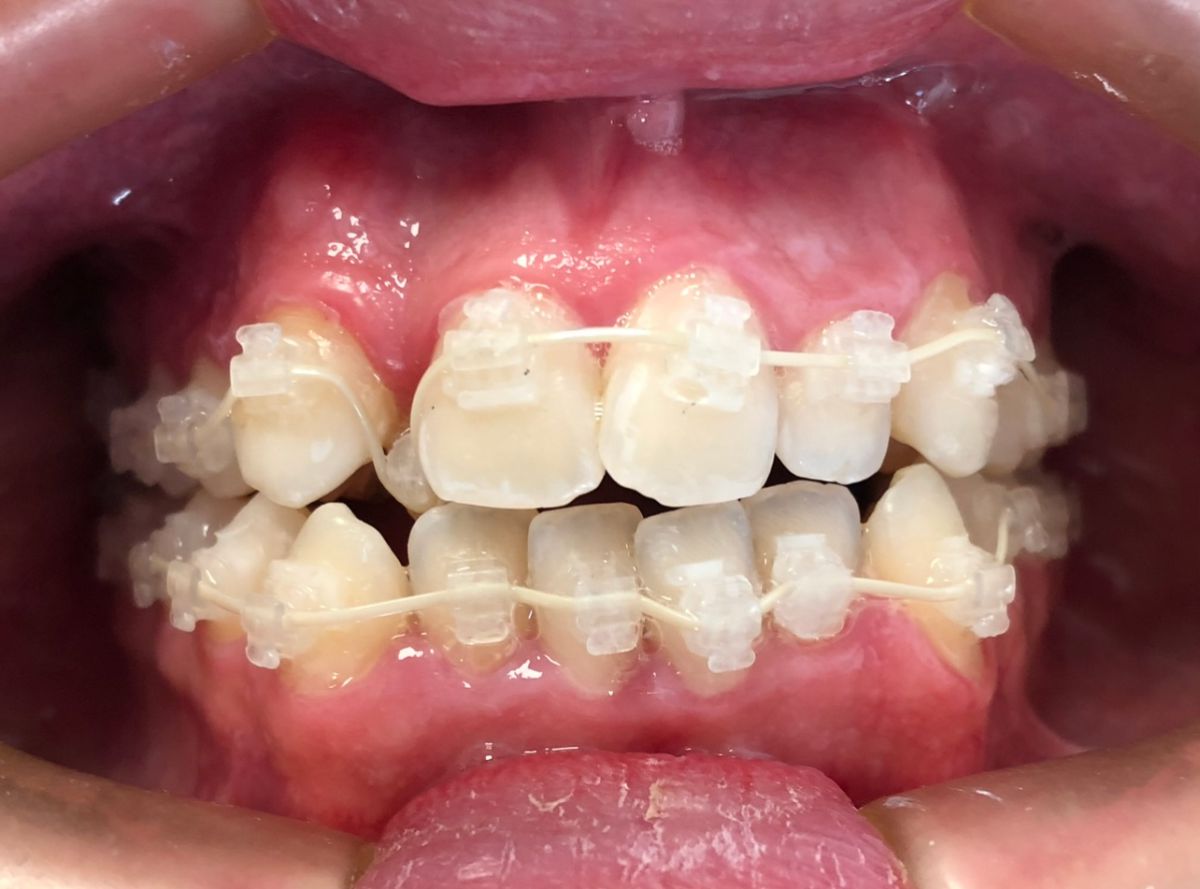
Ortodoncia Aviso sobre las imágenes Las siguientes imágenes muestran tratamientos médicos odontológicos. Si usted es sensible a este tipo de contenido, le recomendamos que no continúe viendo las imágenes. Volver al inicio Ver tratamientos Ortodoncia con brackets estéticos autoligantes Ortodoncia estética Tratamiento Caso finalizado de la ortodoncia estética Ortodoncia invisible Antes de la ortodoncia invisible Después del tratamiento